Gotovo 95% ljudi u toku života doživi neki oblik upale zuba. Ako ne lečiš infekciju, može doći do parodontitisa i gubitka zuba. To može uzrokovati bol koji omete san i svakodnevne aktivnosti.
Upala zuba uzrokuje iritaciju pulpe i okolnih tkiva. Najčešće dolazi od produbljenog karijesa ili gingivitisa. Bakterije koje dospevaju do pulpe izazivaju bol na hladno i toplo, osetljivost, otok i nelagodnost.
Brzo posjetiti stomatologa je ključno za lečenje upale zuba. Uklanjanje karijesa, otvaranje zuba, obrada i punjenje kanala, a zatim restauracija, štiti zube. Antibiotici se koriste samo kod težih slučajeva, nikada umesto terapije.
Prevencija upale zuba počinje sa pravilnim čišćenjem zuba. Četkanje fluoridnim pastama, konac i interdentalne četkice, zajedno sa redovnim pregledima, sprečava napredovanje bolesti.
Ne odlazak na pregled ne rešava problem, već ga pogoršava. Rano prepoznavanje i lečenje upale zuba skraćuje terapiju. To smanjuje rizik od komplikacija i čuva zdravi osmeh.
Šta je upala zuba?
Upala zuba je zapaljenje unutrašnjih i/ili okolnih struktura zuba. Najčešće obuhvata pulpitis u pulpi i zapaljenje desni ili potpornog aparata. To se dešava zbog bakterija, loših navika i stanja imuniteta.
Definicija i uzroci
Pulpitis nastaje kada bakterije iz karijesa prodru do živca. Bol raste na hladno, toplo i zagriz. Inflamacija se širi ka vrhu korena i kosti.
Zubni plak i kamenac iritiraju gingivu. To pokreće gingivitis, a ako ne lečimo, može doći do parodontitis.
Najčešći uzroci upale su loša higijena, pušenje i stres. Rizik povećavaju hipovitaminoze C, D i B12, dijabetes, hormonske promene i neki lekovi. Genetika, starost i autoimune bolesti takođe utiču.
Kako se javlja upala?
Kada lokalni iritansi pokrenu imunološki odgovor, nastaje crvenilo, otok i krvarenje gingive. U pulpi to dovodi do bola i mogućeg stvaranja apscesa. Pušenje ili nekontrolisani dijabetes može ubrzati tok bolesti.
| Oblast | Glavni proces | Tipični okidači | Ključni znaci | Mogući ishod |
|---|---|---|---|---|
| Pulpa (pulpitis) | Zapaljenje nervno-vaskularnog snopa | Dubok karijes, fraktura zuba | Bol na temperaturu i zagriz | Širenje ka vrhu korena, apsces |
| Gingiva (gingivitis) | Imuni odgovor na biofilm | Zubni plak i kamenac, loša higijena | Crvenilo, otok, krvarenje | Napredovanje ka parodontitisu |
| Parodoncijum (parodontitis) | Razgradnja vlakana i kosti | Upala desni uzroci + rizici (pušenje, dijabetes) | Džepovi, klimavost zuba | Gubitak potpore, ekstrakcija |
Simptomi upale zuba
Prepoznati simptome na vreme olakšava lečenje i skraćuje oporavak. Prvi znaci su blaga nelagodnost i zubobolja. Kasnije dolazi do promene izgleda i osećaja u zubima.
Bol i nelagodnost
Zubobolja može da bude pulsirajuća, posebno noću ili pri zagrizu. U slučaju pulpita, bol može da se širi prema uhu ili slepoočnici. Nekad se pojavljuje sitna fistula na desni, što znači da je gnoj dreniran.
Prateći znaci uključuju osećaj pritiska u vilici i neprijatan zadah. Ako se tegobe ponavljaju, to je znak da treba da se vidi stomatolog.
Otok i crvenilo
Kod gingivitisa, desni otok i crvenilo su česti. Osetljivost na dodir i krvarenje pri pranju su znaci. Gingiva postaje ružičasta, a u hroničnim slučajevima crvena.
Trudnoća i pubertet mogu pojačati ove znake. Ako postoji plak, otok desni brže raste i nelagodnost je izraženija.
Povećana osetljivost
Osetljivost na podražaje je česta. Bol na hladno i toplo, kratkotrajno “probadanje” na slatko ili kiselo, kao i nelagodnost na vazduh. Kao što se upala produbljuje, bol postaje dugotrajan.
Blage smetnje mogu da se popravljaju za dve nedelje uz pravilan tretman. Međutim, neliječena zubobolja i drugi simptomi mogu da postanu stalni.
Dijagnostikovanje upale zuba
Rana dijagnoza upale zuba može smanjiti bol i zaštititi tkiva. Ako osetite pulsirajući bol, otok ili krvarenje, odmah idite kod stomatologa. On će ispitati vaš zub i planirati dalje korake.

Poseta stomatologu
Specijalista će ukloniti sve što iritira zub, kao što su plak i kamenac. Onda će testirati površine bojenjem i sondiranjem. Tako će dobiti detalje o stanju vašeg zuba.
Proverava će i pulpu i parodoncijum. Beliće krvarenje i recesiju. Tako će usporediti nalaze sa vašim simptomima.
Za vitalitet vašeg zuba, specijalista će testirati reakciju na hladno i toplo. Također će koristiti električni test. Palpacija i perkusija će otkriti da li postoji bol pri zagrizu.
Osobe koje pušaju ili imaju dijabetes često moraju da idu na kontrolne pregledove.
Mogućnosti dijagnostike
Klinički pregled se može dopuniti radiologijom. Rendgen zuba pokaže dubinu karijesa i stanje korenskih kanala. Ortopan i ciljane retroalveolarne snimke daju širu sliku.
Kod složenih slučajeva koristi se CBCT. To omogućava detaljnu sliku.
Mnogi nemaju jasne simptome u ranoj fazi. Zato su redovni pregledi na 6–12 meseci važni. Oni pomažu u detekciji karijesa i pulpitisa.
Systematski pristup omogućava preciznu dijagnozu upale zuba. Time se može planirati terapija.
| Metoda | Šta otkriva | Kada se primenjuje | Napomena |
|---|---|---|---|
| Stomatološki pregled | Boja i otok gingive, krvarenje, recesija, osetljivost | Prvi susret i kontrolni termini | Osnova za dijagnoza upale zuba i plan terapije |
| Detekcija karijesa | Rani karijes, skrivene lezije, meka dentinska tkiva | Posle čišćenja plaka i kamenca | Koriste se boje, sondiranje i svetlosni indikatori |
| Testovi vitaliteta | Reakcija pulpe na hladno/toplo i električni nadražaj | Kod sumnje na pulpitis ili nekrozu | Pomaže razlikovanje reverzibilne i ireverzibilne upale |
| Palpacija i perkusija | Bol na pritisak, zagriz i prisustvo edema | Kada postoji nelagodnost pri žvakanju | Usmerava na moguću periapikalnu reakciju |
| Rendgen zuba | Dubina karijesa, periapikalne promene, kanali | Pri nejasnoj kliničkoj slici i pre terapije | Niske doze zračenja; ciljane snimke daju više detalja |
| CBCT | 3D prikaz korena, fraktura, resorpcija | Komplikovani ili ponovni slučajevi | Koristi se selektivno radi preciznog planiranja |
Terapije i lečenje
Da bi se ublažio bol i uklonila uzroka, potreban je pravilan pristup. Lečenje upale zuba zavisi od tipa i stadijuma. Cilj je da zub ostane zdrav, smanji se otok i spreči širenje infekcije.
Medikamenti
Kada se razmatra kako olakšati bol, koriste se analgetici. Ibuprofen ili paracetamol mogu olakšati simptome. Međutim, ne otklanjaju uzrok.
Antibiotici su potrebni za teže infekcije, apscese ili visoku temperaturu. Lekar će odrediti najbolji antibiotik i doziranje. Metronidazol se koristi za anaerobne ili gingivalne infekcije.
Tablete protiv bolova ne leče infekciju. Zato se koriste i procedure koje rešavaju problem u zubu.
Proceduralne metode
Pulpite se leči endodontskim putem. Postupak uključuje otvaranje zuba i uklanjanje obolelog tkiva. Kanali se dezinficiraju i zatvaraju.
Zatim se zub puni i zaštićuje. Postoperativna osetljivost je normalna i obično traje nekoliko dana.
Gingivitise se leči profesionalno u ordinaciji. Važna je i kućna higijena da bi se sprečili recidivi. Kontrola rizika, kao što je pušenje, poboljšava ishod.
U težim slučajevima potrebni su dodatni poseti za drenažu. Ako je zub oštećen, ekstrakcija može biti jedina opcija.
Plan lečenja se prilagođava individualnim potrebama. Uključuje analgetike, endodontsko lečenje ili parodontalnu terapiju. Antibiotici se koriste samo kada su potrebni.
Prevencija upale zuba
Redovita rutina i male, ali dobre navike mogu da zaštite zube. Pravilna oralna higijena uklanja meki plak pre nego što postane kamenac. Time se smanjuje rizik od bolesti zuba.
Prevencija upale zuba znači da moramo biti konkretni. Svaki dan treba da uklonimo naslage, koristimo fluoridnu pasta i obavljamo kontrole u ordinaciji. Ove akcije daju dobre rezultate tokom cele godine.

Higijena usne šupljine
Četkanje zuba treba da traje dva minuta ujutru i uveče. Najmanje 30 minuta nakon poslednjeg obroka. Pre četkanja koristimo zubne konace ili interdentalne četkice.
Za zaštitu koristimo fluoridnu pasta. Nakon pranja, ispljunimo bez vode da bi fluorida ostao u usni. Ako ispiramo, koristimo vodic bez etanola i sa fluoridima.
Redovito čišćenje zubnog kamenca u ordinaciji sprječava mineralizaciju plaka. Poliranje nakon uklanjanja naslaga olakšava održavanje zuba.
Redovni pregledi kod stomatologa
Kontrole svakih šest meseci, a najmanje jednom godišnje, omogućavaju rano otkrivanje upala. Pravovremena intervencija sprečava zahvatanje živca.
Stomatolog ili dentalni higijeničar daju edukaciju za negu zuba. Kombinacija pravilne higijene, fluoridne paste i profesionalnog čišćenja zubnog kamenca štiti zube.
| Navika | Frekvencija | Kako pomaže | Praktičan savet |
|---|---|---|---|
| Interdentalno čišćenje | Svakodnevno, pre četkanja | Smanjuje plak između zuba i desni | Izabrati konac ili interdentalne četkice prema razmaku |
| Četkanje zuba | 2x dnevno po 2 minuta | Uklanja meke naslage i jača naviku | Koristiti mekšu četkicu i kružne pokrete pod 45° |
| Fluoridna pasta | Svako pranje | Remineralizuje gleđ i smanjuje rizik od karijesa | Ispljunuti bez ispiranja vodom radi dužeg efekta |
| Vodica bez etanola sa fluoridima | Po potrebi nakon pranja | Dodatna zaštita i svežina bez iritacije | Mućkati 30 sekundi i ne ispirati nakon toga |
| Profesionalno čišćenje zubnog kamenca | Na 6–12 meseci | Uklanja naslage koje se ne mogu skinuti kod kuće | Upariti sa poliranjem radi glatkije površine gleđi |
| Kontrolni pregledi | Na 6 meseci | Rano otkrivanje upala i karijesa | Zakazati sledeći termin odmah nakon posete |
Hrana i životne navike
Briga o osmehu znači da moramo pažljivo birati šta jemo. Namirnice koje biramo utiču na količinu plaka i stres na zube. Kada se skrob i šećeri spoje s bakterijama, stvara se lepljivi biofilm koji olakšava stvaranje šećera i karijesa.
Jasne navike o zdravim zubima smanjuju rizik od bola i osetljivosti.
Uticaj ishrane na zdravlje zuba
Grickanje slatkih i lepljivih zalogaja povećava kiselost u ustima. To brže oštećuje gleđ. Kontrola skroba i izbegavanje slatkiša smanjuju šećere i karijes.
Voda i mlečni proizvodi poput jogurta i sira pomažu remineralizaciji. Žvakanje bez šećera posle jela podstiče lučenje pljuvačke. Redovno čišćenje koncem održava pH u ravnoteži i otežava formiranje plaka.
Nedostatak vitamina C, D i B12 pojačava sklonost upali desni. Uravnotežena ishrana sa povrćem, ribom i integralnim žitaricama podržava otpornost tkiva. To je važno kod dijabetesa i za zdravlje zuba.
Izbegavanje štetnih delikatesa
Rafinirani šećeri, lepljive grickalice i zaslađeni napici ostavljaju trag u fisurama i oko vratova zuba. Izbegavanje slatkiša, posebno između obroka, smanjuje vreme delovanja kiselina. To direktno utiče na šećere i karijes.
Gazirani napici i energetski napici dodatno zakiseljavaju usnu sredinu. Biranje vode ili nezaslađenog čaja i pauza od 2–3 sata između užina oblikuju zdrave navike. To daje pljuvački vreme da neutralizuje kiseline i ojača gleđ.
Pušenje i hronični stres pogoršavaju stanje desni i ubrzavaju napredovanje parodontopatije. Ograničavanje duvana, fizička aktivnost i dobar san dopunjuju izbegavanje slatkiša. To osnažuje uticaj ishrane na zube kroz jači imunitet i bolju oralnu higijenu.
Komplikacije upale zuba
Nelečena bol može da izazove veće probleme. Kada bakterije dosnu koren i okolinu zuba, komplikacije upale zuba postaju očite. Može doći do otoka, povišene temperature i osećaja pritiska pri zagrizu. Brzo prepoznavanje i lečenje mogu spriječiti širenje.
Može li izazvati infekcije?
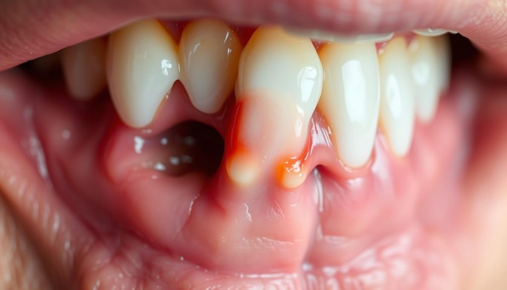
Da. Najčešći problem je zubni apsces, džep gnoja koji nastaje kada se infekcija probije u periapikalna i meka tkiva. Može doći do otoka lica, bola na dodir i nepovoljan zadah.
Ako se ne tretira, bakterije mogu ući u krvotok. To može dovesti do sistemske infekcije. Tada se javljaju malaksalost, ubrzan puls i povišena temperatura, što zahteva hitnu terapiju.
Uticaj na opšte zdravlje
Nelečeni gingivitis može preći u parodontitis. Studije pokazuju da postoji veza između parodontitis i zdravlja. Upala može da oslabi potporna vlakna i viličnu kost, povećavajući rizik od klimavosti i gubitka zuba.
Hronični biofilm i toksini iz parodontalnih džepova mogu pogoršati dijabetes i respiratorne bolesti. Povezani su i sa koronarnom bolešću i moždanim udarom. Smanjenje rizika zahteva suradnju stomatologa i lekara opšte prakse.
- Rani znaci: pulsirajuća zubobolja, osetljivost na hladno i toplo, bol pri zagrizu.
- Napredovali stadijum: zubni apsces, otok obraza, bolnost limfnih žlezda.
- Sistemski rizik: znakovi koji upućuju na moguće sistemske infekcije i potrebu za urgentnom procenom.
- Parodontalni uticaj: jasna veza između parodontitis i zdravlja celog organizma.
Alternativne metode lečenja
Alternativno lečenje zuba može olakšati bol dok se čeka stomatološki pregled. Međutim, stručnjaci kažu da ovi prirodni lekovi ne uklanjaju uzrok infekcije. Zato je bitno znati kako ublažiti bol prije nego što odlučite odlazak kod dentista.
Prirodni lekovi
Ispiranje mlakom slanom vodom može smanjiti bol i neprijatan miris. Hladne obloge na obraz mogu smanjiti otok i bol. Čaj od žalfije ili kamilice može pomoći da se osjeća bolje.
Analgetici bez recepta, kao što su ibuprofen ili paracetamol, mogu biti korisni. Međutim, uzimanje ih treba preporučiti stomatologu. Ove metode su samo privremene i ne zamjenjuju profesionalnu terapiju.
Homeopatija
Homeopatski preparati ne mogu da prevladaju infekciju pulpe ili gingive. Važno je da identifikujete problem i da se odmah sprovodi profesionalno lečenje. Ako imate jači bol ili otok, hitno treba da se vidi dentista.
Prirodni lekovi mogu biti pomoć, ali ne zamjena za profesionalnu stomatološku pomoć. Ako želite olakšati bol, izaberite metode koje imaju dokazano dejstvo i dogovorite se sa stomatologom što pre.
| Pristup | Cilj | Primer primene | Napomena o ograničenjima |
|---|---|---|---|
| Slana voda | Smanjenje iritacije i čišćenje | Ispirati 30 sekundi, 2–3 puta dnevno | Ne uklanja uzrok; privremeno olakšanje |
| Hladne obloge | Ublažavanje bola i otoka | Obloga 10 minuta spolja na obraz | Ne deluje na infekciju tkiva |
| Biljni čajevi (žalfija, kamilica) | Blago umirenje desni | Mlaki čaj za ispiranje ili obloge | Simptomatski efekat, nema sanacije |
| Analgetici (ibuprofen, paracetamol) | Kontrola bola | Prema uputu farmaceuta ili stomatologa | Privremeni efekat; moguća kontraindikacija |
| Homeopatija | Subjektivno olakšanje | Preparati prema uputstvu proizvođača | Nema dokaznog delovanja na infekciju |
Kada potražiti hitnu pomoć?
Upala zuba je obično hitra i ne treba da se odlaže. Ako osjetite pulsirajući bol ili neprijatan ukus, hitna pomoć je potrebna. Osim toga, ako bol remeti vaš san ili normalno funkcionisanje, to je znak da treba pomoć.
Prepoznavanje ozbiljnih simptoma
Crvenilo i otok lica su znak infekcije. Fistula na desni pokazuje da treba drenažu. Ako bol prati povišena temperatura ili otežano otvaranje usta, hitno treba da posjetite dentista.
Akutne situacije i mere
Pokušajte da smanjite bol analgetikom po savetu doktora. Hladni oblog i blago ispiranje slanom vodom mogu pomoći. Ali, ne zagrevajte područje i ne uzimajte antibiotike bez savjeta.
U ordinaciji će vam biti urađena drenaža apscesa i endodontski tretman. To se radi pod lokalnom anestezijom. Redovni pregledi pomažu da se izbegnu komplikacije.


